Why don’t teeth count as bones?

Oct 30, 2025 | Health

Despite their initial appearance, which often leads to confusion, teeth are not considered a component of the skeletal system. While both teeth and bones share notable characteristics—being hard, white, and rich in calcium—their underlying structures and functions reveal fundamental differences that distinguish them.

Teeth and bones, the human body’s most formidable structures, share a fundamental architectural secret: their exceptional hardness stems from an identical mineral composition. Both are meticulously crafted from hard tissues rich in essential minerals such as calcium, phosphorus, fluoride, and magnesium. At a molecular level, these vital elements intertwine to forge a dense, crystalline matrix. This unique and robust structural arrangement is precisely what grants teeth and bones their unparalleled strength, setting them apart as significantly harder than all other tissues within the body.

Dr. Edmond Hewlett, a professor emeritus at the UCLA School of Dentistry, affirmed that while both are indeed “mineralized tissue,” any genuine similarities definitively conclude at that point.

Despite their structural similarities to bones, teeth are not categorized as part of the skeletal system. As explained by Hewlett, their exclusion stems from a distinctly different set of functions. The primary role of teeth is to initiate the digestive process by breaking down food as it enters the digestive tract. Beyond this crucial mastication, they also contribute significantly to the clear articulation of speech. Ultimately, it is this fundamental responsibility in food processing that firmly places these ‘pearly whites’ within the digestive system.

Far from being mere static scaffolding, the human skeletal system performs a diverse array of indispensable functions vital for life. Primarily, bones establish the body’s foundational framework and provide structural support, concurrently serving as critical attachment points for muscles, which in turn enables all forms of movement and locomotion.

Beyond this architectural role, bones act as vital protective barriers, expertly encasing and shielding delicate internal organs such as the heart and lungs from external impact and trauma.

Moreover, within their marrow, bones house a dynamic biological factory. This essential process involves the continuous production of both red and white blood cells. Red blood cells are indispensable for oxygen transport throughout the body, while white blood cells play a crucial role as key defenders within the immune system, combating pathogens and illness.

While teeth and bones primarily serve distinct purposes, a notable functional synergy exists between them. This critical overlap is most evident in the jaw, where the foundational bones are indispensable for securely anchoring the teeth and enabling the essential process of chewing.

Here are a few ways to paraphrase that statement, maintaining a clear, journalistic tone:

**Option 1 (Direct and Clear):**
Hewlett articulated a relationship where the entities operate in conjunction while maintaining distinct identities.

**Option 2 (Emphasizing the Paradox):**
According to Hewlett, the groups demonstrate a paradoxical operational model, functioning collaboratively yet retaining complete independence.

**Option 3 (Focusing on Duality):**
Hewlett noted a clear duality, stating that while the components collaborate extensively, they nevertheless operate as independent units.

**Option 4 (More Descriptive):**
Describing a unique organizational structure, Hewlett explained that the entities, despite their close cooperation, remain fundamentally separate in their operations.

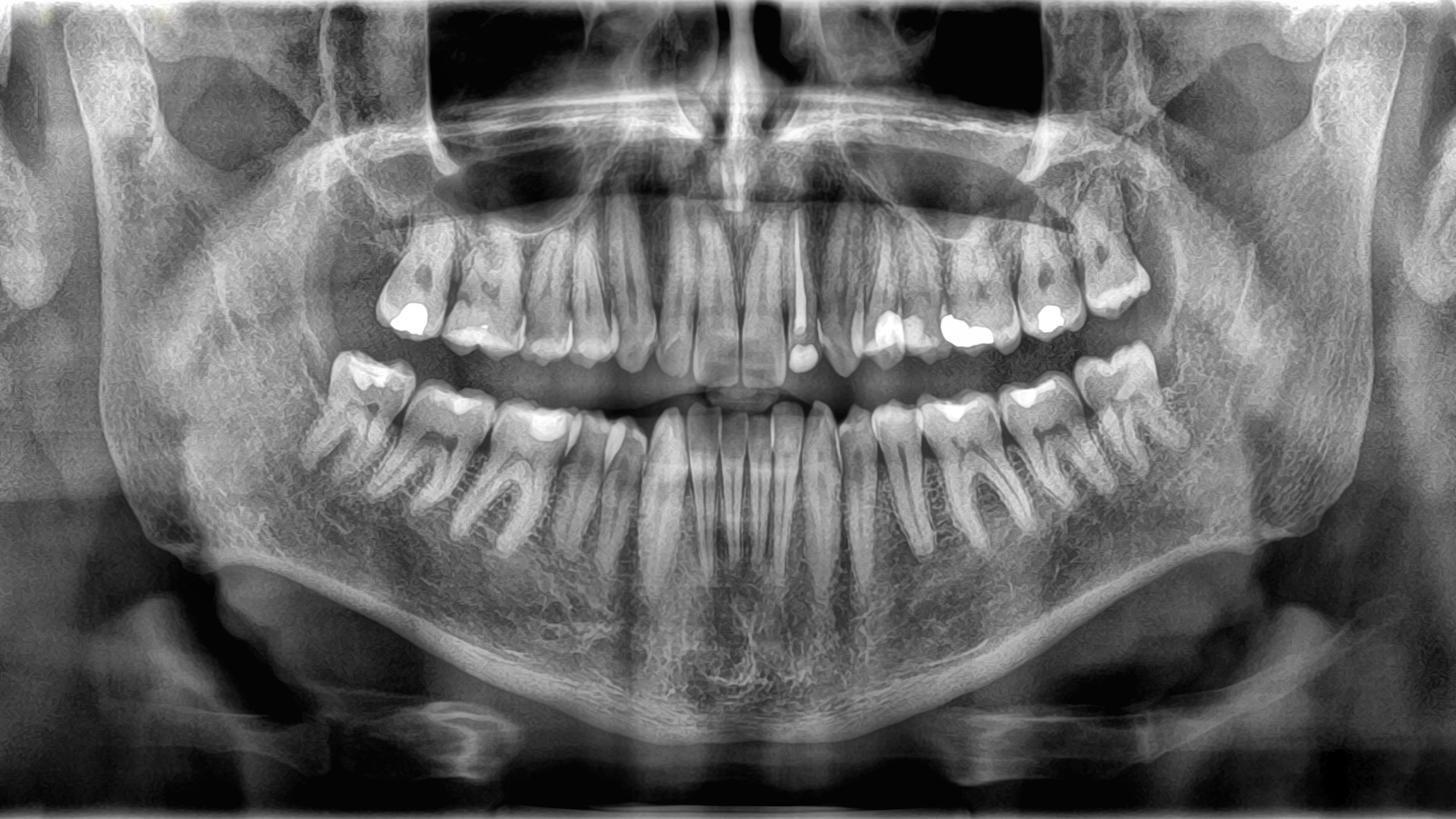
While often grouped, bones and teeth possess distinct structural designs, a direct reflection of their differing biological roles. Encasing each tooth is enamel, a remarkably thin layer of mineralized tissue. This isn’t just any protective coating; enamel holds the title of the human body’s hardest substance. Its exceptional durability is attributed to a densely packed crystalline matrix, formed from a potent compound of calcium and phosphate.

Beneath the tooth’s resilient outer layer of enamel, a robust mineralized tissue known as dentin forms the majority of its structure. While slightly less hard than enamel, dentin provides substantial strength and is crisscrossed by microscopic tubules that accommodate tiny blood vessels and nerve endings. Deeper still, at the tooth’s very core, resides the pulp. This soft, jelly-like substance is a vital hub, brimming with blood vessels that supply essential nutrients and a dense network of nerves responsible for sensory perception, effectively controlling the tooth’s ability to feel.

However, bones exhibit a fundamentally distinct structural composition compared to teeth.

The intricate structure of human bones begins with their outermost layer: the periosteum. This remarkably thin yet exceptionally tough membrane serves as a vital protective sheath, housing the essential blood vessels and nerves critical for both bone growth and the intricate process of healing.

Immediately beneath this crucial outer covering lies the durable compact bone tissue. This dense and unyielding layer is celebrated for its immense strength and provides the primary structural support for the skeletal system.

Venturing deeper, the bone’s internal architecture transforms into a honeycomb-like network known as cancellous tissue. This sponge-like substance, perforated with numerous tiny cavities, serves as the essential reservoir for bone marrow—the body’s vital production factory for new blood cells.

A fundamental biological distinction sets bones apart from teeth. Bones are living tissues, clearly evidenced by the intricate network of nerves and blood vessels that permeate both their interior and exterior. In contrast, teeth are not living tissues and consequently lack this vital neurological and vascular supply, marking a crucial difference in their physiological makeup.

Our teeth are intricate structures that begin their development during fetal life and continue to form throughout early childhood. This complex process is driven by specialized cells: ameloblasts, which lay down the exceptionally hard outer enamel, and odontoblasts, responsible for the underlying dentin. These layers progressively harden, establishing the tooth’s robust and durable structure.

However, a critical biological limitation emerges once this initial formation is complete. The very cells that create enamel, the ameloblasts, subsequently die off. This means that unlike some other bodily tissues, lost enamel from a chipped or broken tooth cannot naturally regrow or repair itself. While the innermost pulp of the tooth contains living tissue and nerves, its regenerative capacity does not extend to restoring these vital outer layers of dentin or enamel.

Far from inert structures, bones are remarkably dynamic, constantly undergoing a sophisticated process of self-renewal. These living tissues are intricately vascularized and innervated, housing specialized cells crucial to their ongoing transformation. Osteoblasts tirelessly construct new bone material, while osteoclasts meticulously break down older tissue.

This ceaseless remodeling is fundamental, enabling bones to heal effectively after fractures and to adapt resiliently to the body’s changing needs, such as shifts in physical stress or activity levels. Indeed, this efficient cellular turnover means that, on average, the vast majority of an adult’s skeleton is completely renewed approximately every 10 years.

Hewlett highlighted the distinct nature of bodily tissues, explaining that while bone is a dynamic, living component, teeth do not possess the same regenerative capabilities. He therefore stressed the critical importance of diligent dental care, noting that once teeth are lost or damaged, they will not naturally grow back.

Related Articles