Here are a few paraphrased options, maintaining a journalistic tone and focusing on engaging the reader:
**Option 1 (Concise & Direct):**
> The subject of our report is a 31-year-old male residing in Wardha, India.
**Option 2 (Slightly more descriptive):**
> Hailing from Wardha, India, a 31-year-old man is at the center of this case.
**Option 3 (Emphasizing location):**
> In the Indian district of Wardha, a 31-year-old man has been identified as the patient in question.
**Option 4 (Focusing on the individual):**
> Our focus is on a 31-year-old individual from Wardha, India.
Choose the option that best fits the overall flow and tone of your larger piece.
A patient presented to a medical facility reporting a cluster of concerning symptoms that had developed over the preceding five days. These included persistent pain localized to the right side of his lower back, a burning sensation during urination, and a fever exceeding 102.2 degrees Fahrenheit (39 degrees Celsius).
Following the initial assessment, medical professionals conducted a physical examination that revealed tenderness in the right side of the patient’s abdomen upon palpation. While his urine appeared cloudy, his vital signs—including heart rate, blood pressure, and respiratory rate—were all found to be within the expected normal parameters.
Diagnostic blood work immediately flagged a critical indicator: an elevated count of leukocytes, the white blood cells essential for the body’s infection-fighting response. Further investigation via a urine culture then precisely identified *Klebsiella pneumoniae*, a bacterial strain frequently linked to urinary tract infections. According to the medical team’s report, these combined laboratory findings conclusively confirmed the presence of an active infection.
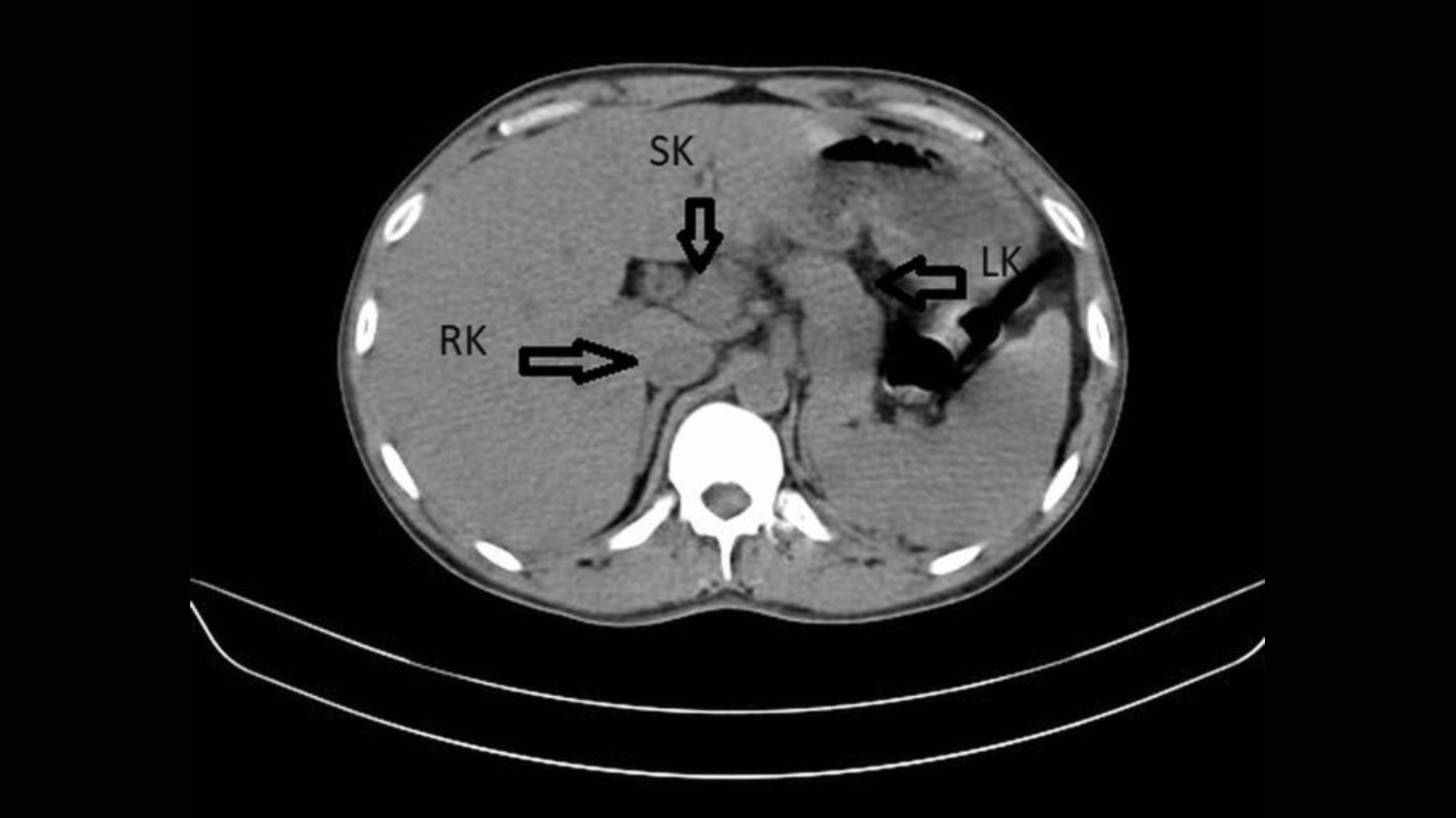
However, advanced medical imaging of the patient’s abdomen, specifically an ultrasound and a CT scan, uncovered a truly unexpected anatomical anomaly. Scans revealed the presence of a third kidney—medically termed a supernumerary kidney—which was remarkably fused with the man’s existing right kidney, creating a distinctive horseshoe shape.
A supernumerary kidney, identified as a congenital anomaly, originates during fetal development. This condition is understood to arise from aberrant cellular division within the embryonic cord that subsequently forms the kidneys. While the presence of an extra kidney can, in some instances, predispose an individual to renal infections, it frequently has no adverse impact on normal kidney function. Consequently, many cases remain undiagnosed, with individuals often unaware they possess this anatomical variation.
Medical findings revealed significant swelling in both of the patient’s kidneys, which also exhibited a substantial buildup of mineral crystals, medically termed calculus. These hard formations typically develop when urine becomes highly concentrated. While smaller kidney stones frequently pass through the urinary system without incident, their untreated persistence within the kidneys poses a considerable risk of infection.
The left kidney exhibited notably more severe signs of infection, a condition compounded by a significant buildup of kidney stones, or calculi. These obstructions were specifically located in the left ureter, the crucial tube responsible for connecting the kidney to the bladder.
Physicians first addressed the condition by surgically implanting a thin plastic stent into the left ureter, a crucial step to facilitate proper urine drainage. Concurrently, the man began an intensive course of intravenous antibiotics. He received piperacillin and tazobactam three times daily, supplemented by doses of levofloxacin administered every other day.
After a dedicated 48-hour regimen of medication and hydration, a patient has shown significant improvement and has subsequently been discharged from medical care. The individual is scheduled for a crucial follow-up appointment in one month, during which a medical stent will be removed. This visit will also serve to establish a comprehensive management plan for the calculus buildup identified within the patient’s kidney.
This case is particularly distinctive given the astonishing rarity of supernumerary kidneys. Considered a profound medical anomaly, fewer than 100 new instances of this condition are typically reported worldwide each year.
**A highly unusual kidney formation, resembling a horseshoe shape, has been documented in the scientific literature only five times, making it an exceptionally rare anomaly.** In other instances, a third kidney may develop as an entirely independent organ or be connected to another kidney by a delicate membrane.
In unexpected medical scenarios, individuals may uncover the presence of an extra kidney while seeking treatment for an entirely different health issue. As previously reported by Live Science, a man in Brazil, for example, was unaware of his third kidney until he sought medical attention for lower back pain stemming from a herniated disk. During a CT scan to investigate the source of his pain, physicians identified a supernumerary kidney that had fused with his right kidney in the pelvic region. In this particular instance, all three kidneys were functioning as expected and were not responsible for the patient’s discomfort.







